Single tooth implant
What are the advantages of a single tooth implant over a bridge?
A dental implant provides several advantages over other tooth replacement options. In addition to looking and functioning like a natural tooth, a dental implant replaces a single tooth without sacrificing the health of neighboring teeth. The other common treatment for the loss of a single tooth, a tooth-supported fixed bridge, requires that adjacent teeth be ground down to support the cemented bridge.
Because a dental implant will replace your tooth root, the bone is better preserved. With a bridge, some of the bone that previously surrounded the tooth begins to resorb (deteriorate). Dental implants integrate with your jawbone, helping to keep the bone healthy and intact.
In the long term, a single implant can be more esthetic and easier to keep clean than a bridge. Gums can recede around a bridge, leaving a visible defect when the metal base or collar of the bridge becomes exposed. Resorbed bone beneath the bridge can lead to an unattractive smile. And, the cement holding the bridge in place can wash out, allowing bacteria to decay the teeth that anchor the bridge.
Single tooth implant procedure
Surgeon: Dr VO VAN NHAN
Patient imformation
- Name: N.T.M.N
- General: Female
- Year of birth: 1983
Health condition: good
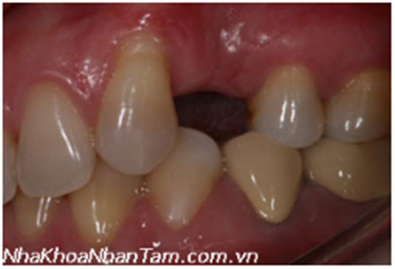
Dental condition: missing one teeth and bone loss
Take x ray to check jawbone density
Panoramic
Nhan Tam dental clinic
Place implant and take x ray
Crown on the implant
Before and after treatment
FIVE GOLDEN ELEMENTS MADE THE NHAN TAM DENTAL CLINIC BRAND
COME WITH US TO GET YOUR HEALTHY TEETH
